20 Years & 1,000+ Patients. A Reputation Built on Trust.

Watch some of our recent testimonials below and discover why so many people trust us with their care. Real stories, real experiences, and honest reflections from those we’ve had the privilege to help.

Testimonials

See some of our favourite smiles.


Mark Barry -
Implant Patient


Gaye Keane -
Implant Patient


Joan Murphy -
Implant Patient


Lisa Mongey -
Implant Patient


Ciaran Wilde -
Implant Patient


Rose Hayes -
Implant Patient


Noel McKernan -
Implant Patient


Anne Leonard -
Implant Patient

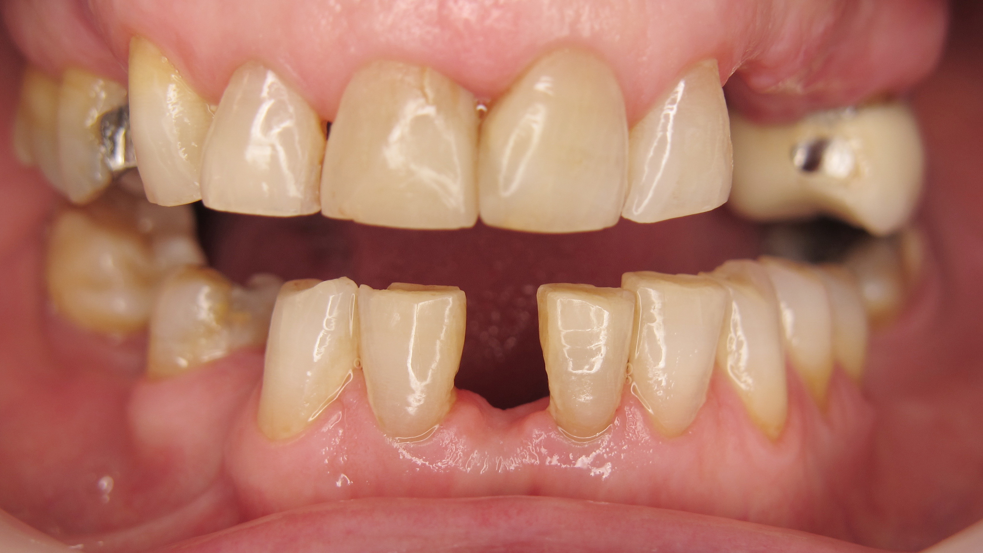
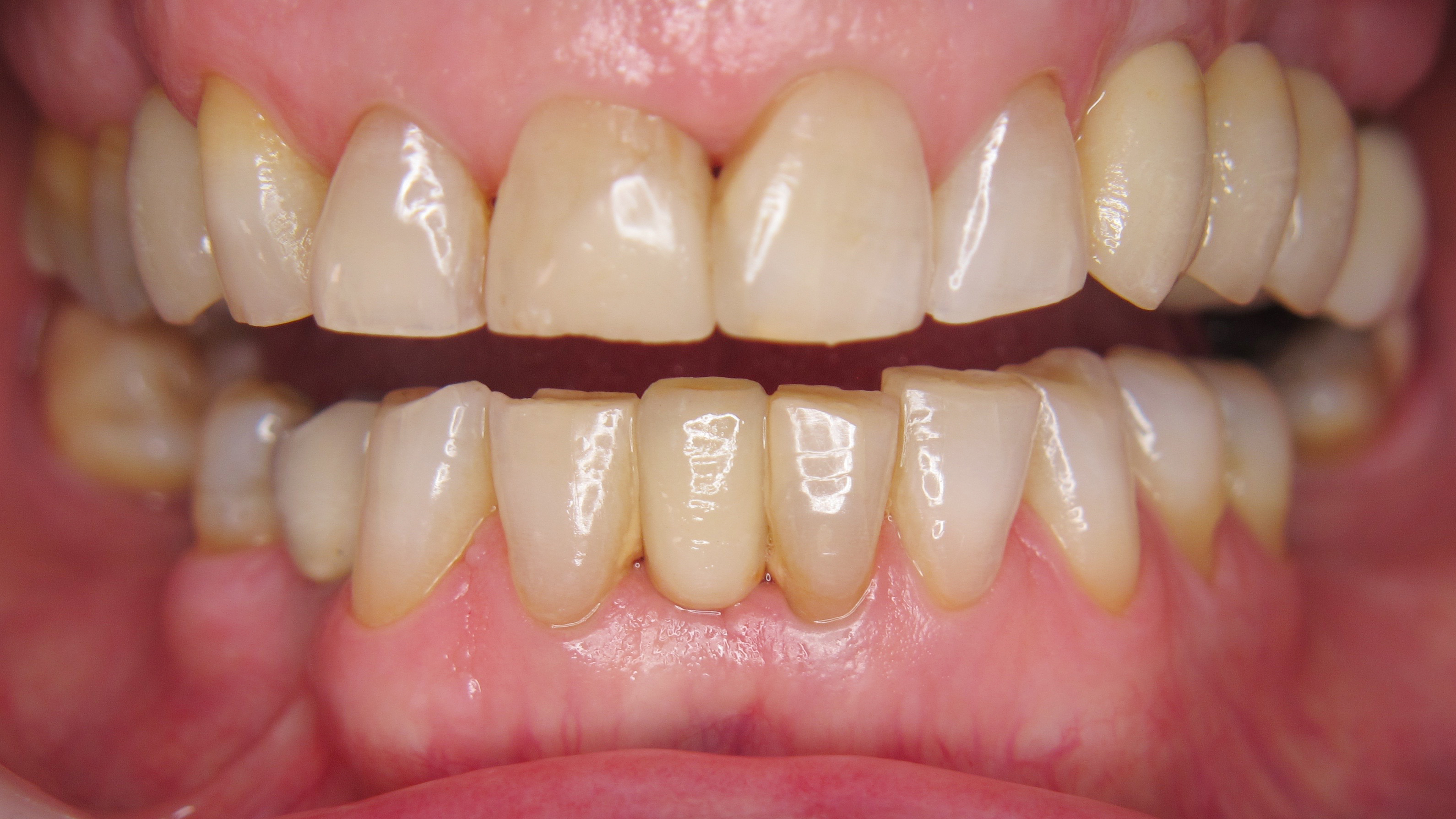
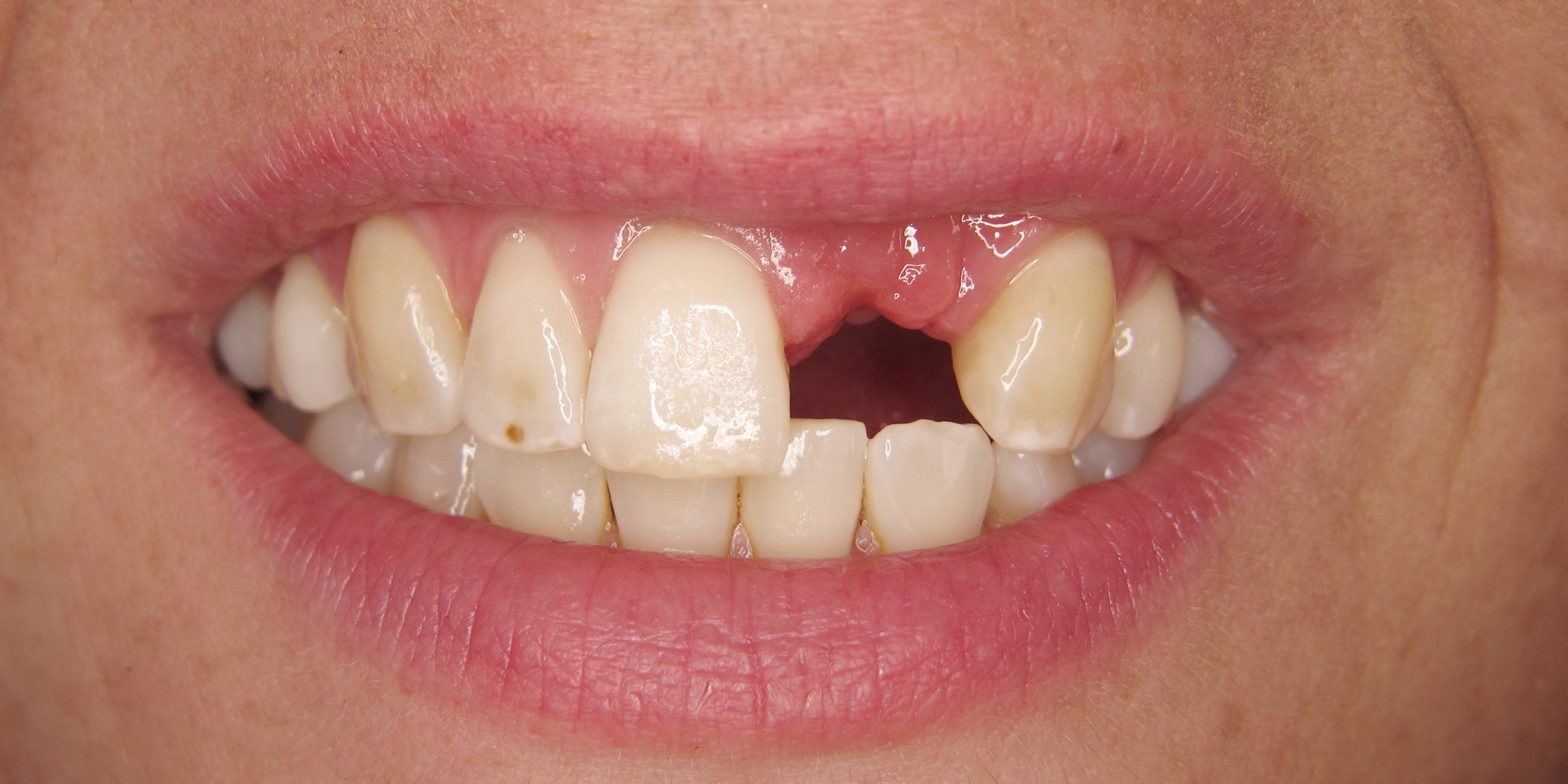
Check out some of our before & afters.


Lower Back


Lower Front


Upper Lower Side


Upper Back


Upper Side


Upper Front